Pneumothorax X Ray Findings / Pneumothorax Radiology In Two Minutes Youtube : Tap on/off image to show/hide findings.

Pneumothorax X Ray Findings / Pneumothorax Radiology In Two Minutes Youtube : Tap on/off image to show/hide findings.. A pneumothorax refers to the presence of gas or air in the pleural space. This may occur because of a number of reasons and may be spontaneous. Hover on/off image to show/hide findings. Pneumothoraces) means the presence of gas (usually air) in the pleural space. Hover on/off image to show/hide findings.

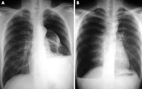
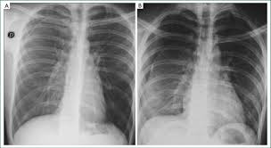
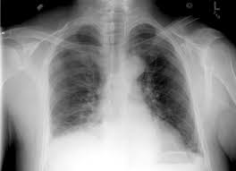
The lungs can be seen to reach the inner edge of the thoracic wall (arrows). Tap on/off image to show/hide findings. Schematic illustration of the radiographic findings and differences between pneumothorax and artifacts related to skinfolds. An occult pneumothorax refers to one missed on initial imaging, usually a supine /semierect chest radiograph 24. This is the one not to miss.

Pneumothorax Undergraduate Diagnostic Imaging Fundamentals
Pneumothorax Undergraduate Diagnostic Imaging Fundamentals from undergradimaging.pressbooks.com
The direct contact between air and water results in a flat interface (arrows) rather than the characteristic 'meniscus' shape of a simple pleural effusion. Tap on/off image to show/hide findings. Distracting injuries such as fractures or peritonitis were also noted. On an expiration film, the pneumothorax will be more evident because on expiration, there is less lung air, therefore, the lungs will look whiter, making the density difference between the pneumothorax and the lungs more evident, and the size of the pneumothorax will appear larger. Patients with tension pneumothorax usually appear dyspnic and distressed. 6 10 supportive findings of pneumothorax. An occult pneumothorax refers to one missed on initial imaging, usually a supine /semierect chest radiograph 24. Patients will not always be symptomatic and treatment will depend on the cause.

All patients suspected of having pneumothorax;

Ultrasound imaging also may be used to identify a pneumothorax. Many observations suggest that spontaneous pneumothorax often results from rupture of a subpleural bleb. Patients with tension pneumothorax usually appear dyspnic and distressed. All patients suspected of having pneumothorax; Pneumothoraces may be small or very large. Tap on/off image to show/hide findings. Pneumothoraces) means the presence of gas (usually air) in the pleural space. If a hemothorax occurs concurrently with a pneumothorax it is then termed a hemopneumothorax. This is the one not to miss. Tap on/off image to show/hide findings. Tap on/off image to show/hide findings. The lungs can be seen to reach the inner edge of the thoracic wall (arrows). Distracting injuries such as fractures or peritonitis were also noted.

Pneumothoraces) means the presence of gas (usually air) in the pleural space. The video is an effort to revisit the pneumothorax. A pneumothorax refers to the presence of gas or air in the pleural space. Hover on/off image to show/hide findings. 6 10 supportive findings of pneumothorax.

Comparison Of Deep Learning Approaches For Multi Label Chest X Ray Classification Scientific Reports
Comparison Of Deep Learning Approaches For Multi Label Chest X Ray Classification Scientific Reports from media.springernature.com
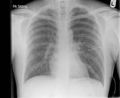
The condition spans all age groups, and ems providers should, therefore, maintain a high index of suspicion for pneumothorax for any patient with a. Tap on/off image to show/hide findings. However, treatment is reliant on timely review of radiographs. If you cannot diagnose a tension pneumothorax at medical finals you won't find an examiner who will defend you. A normal or raised paco 2 is concerning as it indicates that the patient is tiring and failing to ventilate effectively. Ipsilateral pleural line with reduc ed/absent lung markings (i.e., increased transparency) abrupt change in radiolucency; Pneumothoraces may be small or very large. In this video, you'll learn how to identify when radiological pleura is abnormal and the key signs to look out for when trying to diagnose a pneumothorax.

Tap on/off image to show/hide findings.

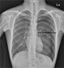
Patients with a larger pneumothorax may have decreased movement of the chest wall, a positive coin test result, diminished fremitus, or decreased to absent breath sounds on the affected side. Most individuals with primary spontaneous pneumothorax (psp) have unrecognized lung disease; If a hemothorax occurs concurrently with a pneumothorax it is then termed a hemopneumothorax. The video is an effort to revisit the pneumothorax. Radiographic findings of 2.5 cm air space are equivalent to a 30% pneumothorax. Please see disclaimer on my website www.academyofprofessionals.com Ipsilateral pleural line with reduc ed/absent lung markings (i.e., increased transparency) abrupt change in radiolucency; Schematic illustration of the radiographic findings and differences between pneumothorax and artifacts related to skinfolds. 6 10 supportive findings of pneumothorax. Distracting injuries such as fractures or peritonitis were also noted. Tap on/off image to show/hide findings. Clinical signs of a tension pneumothorax in the ventilated patient are comparably rapid, with arterial and mixed venous peripheral capillary oxygen saturation immediately decreasing 5. A pneumothorax refers to the presence of gas or air in the pleural space.

Finding of pneumothorax on chest radiographs may include the following: The condition spans all age groups, and ems providers should, therefore, maintain a high index of suspicion for pneumothorax for any patient with a. Pneumothorax describes gas within the pleural space. Hover on/off image to show/hide findings. Clinical signs of a tension pneumothorax in the ventilated patient are comparably rapid, with arterial and mixed venous peripheral capillary oxygen saturation immediately decreasing 5.

Pneumothorax
Pneumothorax from www.saem.org
Hover on/off image to show/hide findings. Finding of pneumothorax on chest radiographs may include the following: Typical abg findings in pneumothorax include low pao 2 and low paco 2 (due to hyperventilation). A pneumothorax refers to the presence of gas or air in the pleural space. This may occur because of a number of reasons and may be spontaneous. The video is an effort to revisit the pneumothorax. Pneumothorax describes gas within the pleural space. Schematic illustration of the radiographic findings and differences between pneumothorax and artifacts related to skinfolds.

Schematic illustration of the radiographic findings and differences between pneumothorax and artifacts related to skinfolds.

Tap on/off image to show/hide findings. This is the one not to miss. Please see disclaimer on my website www.academyofprofessionals.com Patients will not always be symptomatic and treatment will depend on the cause. On an expiration film, the pneumothorax will be more evident because on expiration, there is less lung air, therefore, the lungs will look whiter, making the density difference between the pneumothorax and the lungs more evident, and the size of the pneumothorax will appear larger. Hover on/off image to show/hide findings. Tap on/off image to show/hide findings. Physical examination of patients with tension pneumothorax is usually remarkable for tracheal deviation, decreased chest expansion, increased percussion note, decreased breath sounds, and neck veins distension. Ultrasound imaging also may be used to identify a pneumothorax. Patients with a larger pneumothorax may have decreased movement of the chest wall, a positive coin test result, diminished fremitus, or decreased to absent breath sounds on the affected side. The condition spans all age groups, and ems providers should, therefore, maintain a high index of suspicion for pneumothorax for any patient with a. Hover on/off image to show/hide findings. Pneumothoraces may be small or very large.

Posting Komentar

0 Komentar